quinta-feira, junho 06, 2013

Leucemia aguda e síndrome mielodisplásico

Leucemia aguda e síndrome mielodisplásico

Leucemia mielóide aguda ( LMA ) é uma patologia que resulta da proliferação neoplásica dum clone celular mielóide, caracterizado por proliferação e maturação descontroladas. O clone leucémico pode derivar de uma stem cell hematopoiética pluripotencial, stem cell mielóide multipotencial ou de um precursor celular já comprometido com uma determinada linhagem celular ( o que a distingue das neoplasias mieloproliferativas ou mieloproliferativas/mielodisplásicas que derivam de uma stem cell hematopoiética pluripotencial ou stem cell mielóide multipotencial mas não de um precursor celular já comprometido com uma determinada linhagem celular).


A medula óssea hematopoiética é amplamente substituída por células mielóides imaturas, principalmente blastos, com pouca capacidade para se diferenciarem em células maturas das diferentes linhagens mielóides. Pancitopenia é um achado frequente, devido à capacidade diminuída das células do clone leucémico em se diferenciarem e à substituição das células normais da medula óssea por células neoplásicas.
O síndrome mielodisplásico ( SMD ) semelha a LMA no facto das células hematopoiéticas policlonais normais da medula óssea serem amplamente substituídas por células de um clone  neoplásico  derivado de uma única stem cell caracterizada por maturação deficiente, por forma a que a hemopoiese é geralmente ineficaz funcionalmente e morfologicamente displásica.


No síndrome mielodisplásico, a grande maioria dos casos apresenta uma medula óssea hipercelular mas com morte celular, ainda na medula óssea, aumentada, dando origem a uma produção ineficaz das células maturas, de uma ou mais linhagens celulares hemopoiéticas, processo este denominado hemopoiese ineficaz. No SMD há um desiquilíbrio entre a produção e a maturação celular, ainda que inferior ao verificado na LMA, originando um número aumentado de blastos. As células neoplásicas, no SMD, mostram uma tendência à evolução clonal. Emergência de um clone, mais maligno, pode manifestar-se clinicamente como transformação para leucemia aguda, pelo que o SMD pode ser considerado uma condição pré-leucémica.

Leucemia mielóide aguda

A LMA é uma patologia heterogénea. As células leucémicas mostram diferentes padrões de diferenciação e maturação.


A LMA é mais frequente à medida que a idade avança e algo mais frequente nos homens que nas mulheres. Clinicamente cursa com hepatomegalia, esplenomegalia, linfadenopatia e infiltração cutânea, das gengivas e amígdalas, sendo estes sinais mais ou menos frequentes consoante o tipo de LMA em causa. Devido à pancitopenia, os doentes habitualmente exibem palidez e susceptibilidade maior às infecções, bem como uma maior tendência hemorrágica.


Esfregaço de sangue periférico com pancitopenia

A anemia é geralmente normocítica, com neutropenia e trombocitopenia. Leucocitose é frequente devido à presença em circulação das células leucémicas, mas pode haver leucopenia, ou leucócitos em número normal, com poucas células circulantes imaturas.
O mielograma, bem como o estudo do sangue periférico, são de primordial importância no diagnóstico da LMA. A biópsia óssea tem um lugar não tanto relevante, excepto nos casos em que não é possível fazer aspirado de medula óssea para mielograma. A citoquímica auxilia na confirmação do diagnóstico de LMA em todas as situações, excepto naqueles casos em que há mínimas evidências de diferenciação mielóide ( LMA M0 da classificação FAB ) e nas leucemias agudas de megacarioblastos ( LMA M7 da classificação FAB ). A imunofenotipagem tem vindo a retirar importância à citoquímica, e aquela técnica pode ser de grande relevo no diagnóstico diferencial entre LMA sem diferenciação ( LMA M1 da classificação FAB ) e a leucemia linfocítica aguda ( LLA ), e para fazer o diagnóstico diferencial da leucemia monoblástica aguda ( LMA M5a da classificação FAB ) de linfoma pouco diferenciado.
Colorações citoquímicas recomendadas são a mieloperoxidase e o Negro do Sudão B, para a identificação da diferenciação granulocítica. Biópsia óssea é frequentemente um estudo suplementar nos casos de LMA. No entanto, nos casos em que o estudo de sangue periférico é inconclusivo e o mielograma é difícil ou impossível de realizar, a biópsia óssea pode ser essencial. Esta situação ocorre quando a medula óssea é hipocelular ou existe fibrose medular.


Corpo de Auer

Classificação FAB da LMA

  1. LMA M0: Leucemia aguda, na qual os blastos mostram muito pouca ou nenhuma evidência, citológica ou citoquímica, da linhagem comprometida envolvida, mas a imunofenotipagem confirma diferenciação mielóide; não se observam corpos de Auer ou grânulos mieloperoxidase, negro do Sudão B ou esterases positivos ou, se são positivos, são-no apenas em menos de 3% dos blastos. Os neutrófilos são hipogranulosos.

  2. LMA M1 e M2: As células mostram diferenciação predominantemente granulocítica, geralmente neutrofílica. A diferenciação na M1 é limitada, enquanto na M2 é mais extensa. Aparecem grânulos mieloperoxidase e negro do Sudão B positivos, bem como para as esterases. A diferenciação é óbvia em M2 por critérios morfológicos, enquanto que no M1 são necessários estudos citoquímicos. Quando a diferenciação é eosinofílica, esta torna-se aparente no sangue periférico, e podem aparecer cristais de Charcot-Leyden.


  3. LMA M3: Os doentes, geralmente novos, apresentam-se com manifestações hemorrágicas, resultantes de um quadro de coagulopatia intravascular disseminada que se instala. No sangue periférico não se observa grande aumento dos leucócitos, e o número de células leucémicas tende a ser baixo; há usualmente anemia e a trombocitopenia costuma ser pronunciada. Os promielócitos, anormais, são grandes células com o tamanho de 2-3 eritrócitos, com um citoplasma carregado de grânulos que coram de rosa ou vermelho-púrpura. Corpos de Auer podem ser visualizados. A zona de Golgi não é visível. O núcleo, usualmente redondo ou oval, tem um contorno de difícil demarcação devido aos grânulos citoplasmáticos que o dissimulam. Na variante hipogranular, o núcleo dos leucócitos pode estar aumentado, com anemia e trombocitopenia concomitantes. Promielócitos anormais são, caracteristicamente, mais frequentes no sangue periférico na forma variante do que nos casos de promielócitos hipergranulados. O núcleo dos promielócitos costuma ser profundamente lobado, frequentemente com 2 lobos unidos por uma ponte estreita de cromatina. O citoplasma é fraca a moderadamente basófilo. O mielograma é frequentemente de difícil realização uma vez que o estado de hipercoaguabilidade origina a coagulação da amostra mas, dado poder haver poucas células neoplásicas na periferia, o mielograma é sempre de grande utilidade. O mielograma é usualmente hipercelular, com um número de blastos geralmente inferior a 20%, sendo o promielócito a célula predominante. Promielócito hipergranular por vezes contêm grânulos gigantes. Há uma redução marcada de número de granulócitos, normalmente maturos. Eritrócitos e megacariócitos estão em número consideravelmente reduzido, mas citologicamente normais. Nas colorações citoquímicas, verifica-se forte positividade para a mieloperoxidase, negro do Sudão B e esterases. Imunofenotipagem é muito característica e útil no diagnóstico, particularmente na forma variante; sendo CD34 negativo, HLA-DR negativo, CD33 fortemente positivo e expressão heterogénea de CD13 e mieloperoxidase fortemente positivo
LMA M3 ( hipergranulações )

Núcleo bilobado com ponte entre os 2 lobos

Faggot cell

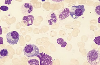
  1. LMA M4: Caracterizada por diferenciação das linhagens granulocítica e monocítica, podendo a diferenciação granulocítica ser principalmente neutrofílica ou eosinofilica ou, ocasionalmente, basofilica.

LMA M4

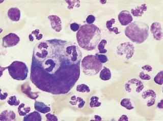
  1. LMA M5: Apresenta principalmente diferenciação monocítica, podendo haver muito pouca maturação para além do monoblasto, designando-se LMA M5a, ou diferenciação substancial para o monócito, designando-se LMA M5b. O diagnóstico morfológico pode ser feito facilmente nas situações de LMA M5b, enquanto que nos casos de LMA M5a, devido à pouca diferenciação celular, o diagnóstico morfológico é difícil, e pode haver confusão com linfoma de grandes células, sendo necessário o recurso à citoquímica e imunofenotipagem.

LMA M5a


LMA M5b

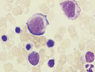
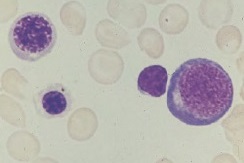
  1. LMA M6: Esta patologia tem um significativo componente eritróide, constituindo os eritroblastos pelo menos 50% das células da medula óssea. Para se fazer o diagnóstico de LMA M6, pelo menos 30% das restantes células nucleadas medulares, que não da série eritróide,  terão de ser blastos ( assim se na medula óssea houver 50% de eritroblastos, pelo menos 15% de blastos terão de existir para estarmos na presença de uma LMA M6 ). O diagnóstico da LMA M6 só pode ser feito na base do mielograma e/ou biópsia óssea.

LMA M6
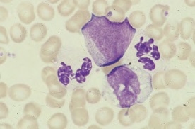
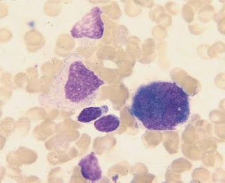
  1. LMA M7: LMA M7 mostra diferenciação megacariocítica. Por vezes, megacarioblastos e micromegacariócitos têm granulações citoplasmáticas similares às plaquetárias, mas frequentemente é preciso recorrer à imunofenotipagem para estabelecer a linhagem envolvida. Devido à fibrose medular e presença de poucos blastos no sangue periférico, a histologia e imunohistoquímica são importantes para fazer o diagnóstico correcto.


LMA M7


Micromegacariócito


Leucemia mielóide não incluída noutras situações   (   LMA – NOS   )

A contagem de blastos, nesta patologia, é de 20% ( e não os 30% da LMA da classificação FAB ) e para ser feito este diagnóstico tem de se ter excluído todas as formas FAB referidas anteriormente. Em adição, incluem-se nesta categoria a leucemia aguda a basófilos e a panmielite aguda com fibrose e a definição de eritroleucemia foi alterada:
  • Leucemia mielóide aguda com diferenciação mínima que se sobrepõe à LMA M0 da classificação FAB
  • Leucemia mielóide aguda sem maturação que se sobrepõe à LMA M1 da classificação FAB
  • Leucemia mielóide aguda com maturação que se sobrepõe à LMA M2 da classificação FAB, com óbvia maturação granulocítica
  • Leucemia mielomonocítica aguda que se sobrepõe à LMA M4 da classificação FAB, apresentando diferenciação granulocítica e monocítica. Coloração com as esterases ( CAE e NSE ) serve para confirmação de diagnóstico
  • Leucemia aguda monoblástica e monocítica sobrepõe-se, respectivamente, às LMA M5a e LMA M5b da classificação FAB. A célula dominante é o monoblasto ou, alternativamente, promonócitos e monócitos maturos podem predominar. No sangue periférico, 20% de monoblastos mais promonócitos fazem o diagnóstico de LMA. Podem confundir-se com linfomas de grandes células, pelo que é importante o estudo citoquímico ou imunofenotipagem.


LMA M5a



LMA M5b

  • Leucemia eritróide aguda: 2 formas desta patologia existem, sendo uma, a leucemia eritróide-mielóide que se sobrepõe a LMA M6 da classificação FAB, com uma população de mieloblastos significativa, enquanto que a leucemia eritróide pura não apresenta esta população mieloblástica, e em substituição aos mieloblastos apresentam-se células eritróides muito imaturos ( células indiferenciadas e proeritroblastos ). No sangue periférico podem ser observados mieloblastos ou células eritróides displásicas. Lobulação nuclear, cariorrexis, multinuclearidade, gigantismo ou megaloblastos ou eritropoiese sideroblástica podem ser observados. Vacuolização citoplasmática é visualizada de forma frequente. Sideroblastos em anel são visiveis com frequência.
  • Leucemia megacariocítica aguda sobrepõe-se a LMA M7 da classificação FAB apresentando, no mínimo 20% de blastos, dos quais pelo menos 50% são megacarioblastos. O sangue periférico apresenta pancitopenia, com muito raros blastos leucémicos em circulação, tendo uma medula fibrótica e sem organomegalia ou, em alternativa, sinais mais típicos de leucemia aguda com hepatomegalia, esplenomegalia e um número significativo de blastos circulantes. Megacarioblastos são de tamanho semelhante aos mieloblastos, com uma alta razão nucleocitoplasmática e um citoplasma moderadamente basófilo. Pode haver plaquetas gigantes e hipogranulares.
  • Leucemia aguda a basófilos é uma forma rara de LMA, na qual a diferenciação é primariamente de basófilos, caindo os casos na sobreposição dos grupos LMA M1, LMA M2 e LMA M4 da classificação FAB. Os blastos ( 20 % ou mais das células presentes ) podem ter granulações basófilas e a clínica cai num quadro de hiperhistaminemia. Os basófilos maturos podem ser hipogranulares e vacuolizados.
  • Panmielite aguda com mielofibrose


Síndrome mielodisplásico

Os SMD´s são doenças que resultam de alterações hematopoiéticas clonais, caracterízadas por hematopoiese ineficaz e displásica, com discrepância entre a medula óssea hipercelular e uma pancitopenia periférica. As linhagens hematopoiéticas não são afectadas, necessariamente, de maneira idêntica, podendo haver deficiência duma linhagem e não de outra. Pode mesmo haver aumento de certas linhagens como neutrófilos, monócitos ou plaquetas.
SMD são doenças predominantemente de idosos, homens mais que mulheres e mais na raça branca que nos indivíduos de raça preta. A sintomatologia depende das várias citopenias que ocorrem, havendo ou não organomegalias.
O diagnóstico de SMD é feito com contributo de clínica, estudo do sangue periférico, estudo da medula óssea e dados citogenéticos, sendo que o estudo do sangue periférico e da medula óssea são os principais dados para a realização do diagnóstico, podendo por vezes ser mesmo suficientes e dispensando os restantes parâmetros. Biópsia óssea dá apenas informações complementares. Todos os doentes com suspeita de SMD devem ser estudados para os depósitos de ferro com a coloração de Perls.
A distinção entre LMA e SMD é feita na base do número de blastos presentes, sendo que o número de 20 % ( 30 % segundo o grupo FAB ) de blastos indica LMA, e um número inferior a esse aponta para SMD.
No sangue periférico, podemos observar anemia normocrómica normocítica ou macrocítica. Em doentes com eritropoiese sideroblástica há frequentemente uma dismorfia dos eritrócitos com uma população, minoritária, de micrócitos hipocrómicos e outra população, maioritária, de eritrócitos normocrómicos normocíticos ou macrocíticos. Corpos de Pappenheimer podem ser observados e são pequenos corpúsculos arredondados, compostos por grânulos sideróticos, irregulares e escuros, identificados por corantes da rotina hematológica e que coram com o azul da Prússia indicando a presença de ferro; o número de inclusões por eritrócito não supera 3.



Corpos de Pappenheimer

Eritroblastos podem ser vistos em circulação, podendo ser displásicos, como megaloblastos ou sideroblastos em anel.
Neutropenia é frequente e os neutrófilos são geralmente hipogranulares com a anomalia adquirida de Pelger-Hüet.

A hipogranulação indica formação defecitária dos grânulos secundários. Neutrófilos agranulares são muito específicos de SMD. A anomalia adquirida de Pelger-Hüet é quase patognomónica de SMD ( aparece esta anomalia também nos casos de transformação aguda da LMC ). Eosinófilos e basófilos estão geralmente reduzidos em número, podendo ocorrer com formas displásicas, tanto a nível nuclear como citoplasmático. Corpos de Auer são por vezes observados. As plaquetas estão geralmente diminuídas em tamanho e podem ser hipogranulares ou agranulares ( plaquetas cinzentas ) e gigantes.
O mielograma mostra-se hipercelular na maioria dos casos ( em 10% dos casos é hipocelular ) devido a aumento dos precursores eritróides e granulocíticos. A hipercelularidade é mais frequente no SMD iatrogénico.
Eritropoiese pode ser normoblástica, macronormoblástica ou megaloblástica. A hemoglobinização pode ser fraca, com vacúolos citoplasmáticos dos eritroblastos. Alterações nucleares podem aparecer como binuclearidade, multinuclearidade, pontes internucleares, lobulação nuclear, irregularidade ou fragmentação nuclear, gigantismo, picnose e basofilia.
Granulopoiese está geralmente aumentada. Defeitos da granulação podem ser observados desde os promielócitos.
Megacariócitos podem estar em número mantido ou aumentado, raras vezes diminuído. Uma característica importante é a presença de micromegacariócitos, do tamanho de um mieloblasto, com 1 a 2 núcleos redondos.


Megacariócito típico de SMD 5q-


Os megacariócitos podem ser normais em tamanho mas apresentarem um único grande núcleo não lobulado, característico e típico dos casos 5q-. Outra característica é a presença de múltiplos núcleos separados e desgranulação citoplasmática. Emperipolesis pode ser um fenómeno observado.

quarta-feira, junho 05, 2013

Síndrome lupus-like secundário a terapêutica

Síndrome lupus-like secundário a terapêutica

O síndrome lupus-like secundário a terapêutica é uma situação patológica que se apresenta após a toma de certos fármacos e que semelha os sintomas e dados laboratoriais do lupus eritematoso sistémico ( LES ) idiopático. Muitos fármacos podem induzir o aparecimento de ANA, mas só uma minoria desencadeia a doença.
A sintomatologia clínica mais frequente é um mal estar geral, artralgias e artrite, mialgias, febre e perda de peso, com um início subagudo e, em geral, a sintomatologia é ligeira. O atingimento renal e do sistema nervoso central são excepcionais.
Os ANA aparecem em mais de 80% dos casos e dirigem-se contra as proteínas histonas. A presença de anticorpos anti-dsDNA é rara excepto quando secundária a fármacos anti-αTNF e minociclina. O tratamento com anti-αTNF associa-se frequentemente ao desenvolvimento de ANA e anti-dsDNA. A incidência de ANA em doentes fazendo medicação anti-αTNF é da ordem dos 23-57 %, enquanto que os anti-dsDNA oscila entre 9-33%. Apesar desta alta taxa de anticorpos presentes nestes doentes, a doença se desenvolve apenas numa pequena percentagem destes doentes ( 0.15% ).
O tratamento do síndrome lupus-like é primariamente a suspensão de tratamento, podendo, em alguns casos, ser necessário AINEs e corticóides em baixas doses. Nos casos graves do síndrome lupus-like, com lesão renal ou neurológica, podem ser necessários corticóides em doses mais altas e imunossupressores. O título de anticorpos desce de forma lenta podendo persistir anos.
Sem sintomatologia sistémica não é necessário tratamento.

Para se considerar o diagnóstico de síndrome lupus-like é preciso que se cumpram, no mínimo, 4 critérios do American College of Rheumatology para a classificação do lupus.



Critérios do American College of Rheumatology para síndrome lupus-like



A incidência deste síndrome, ainda que não se conheça com toda a certeza, pode representar até 5% dos lupus diagnosticados anualmente.
O síndrome lupus-like não mostra predomínio pelo sexo feminino, ao contrário do que sucede com o LES; a idade de apresentação é mais frequente após os 50 anos e se apresenta com mais frequência na raça branca ao contrário do que acontece com o LES.
Como factores de risco foram descritas certas características genéticas, entre elas certos alelos HLA que se associam a doenças autoimunes em geral ou a LES em particular, como os alelos DR2, DR4 e DR3 e o alelo nulo do factor de complemento C4. O fenótipo acetilador não se relaciona com o síndrome lupus-like ligado ao anti-αTNF.

Mecanismos patogénicos

Não há um único mecanismo, mas vários, causador da indução de autoimunidade para os fármacos relacionados com o síndrome lupus-like. Este fenómeno parece não se tratar de uma reacção de hipersensibilidade típica, pois não há sinais de células T específicas contra o fármaco nem os anticorpos; referem-se meses, ou até anos, de exposição ao fármaco para ocorrer o síndrome lupus-like; o desenvolvimento do síndrome depende da dose acumulada e a recorrência dos sintomas, após reintrodução do fármaco, se produz em 1-2 dias.
Há 4 mecanismos propostos para os quais os fármacos produzirão o síndrome lupus-like:
  • hipótese do hapteno: tanto os fármacos como seus metabolitos podem unir-se a proteínas, e formar haptenos capazes de suscitar a resposta imune das células T e B, ou alterar as proteínas, tornando-as antigénicas
                         hipótese do hapteno
  • hipótese de citotoxicidade directa: certos metabolitos, derivados dos medicamentos, podem causar directamente morte celular por um processo não imunitário; os metabolitos derivados dos fármacos alteram também a degradação ou clearance das células apoptóticas, que podem levar à perda da tolerância aos próprios antigenes
                           morte celular por processo não imunológico
  • hipótese da activação linfocítica: as células esplénicas mostram um aumento da resposta proliferativa das células apresentadoras de antigenes autógenos, e promovem a diferenciação das células B em células plasmáticas secretoras de anticorpos
                            aumento das células apresentadoras de Ag e da diferenciação
                            das células B
  • hipótese de tolerância imunitária central: fármacos indutores de síndrome lupus-like, injectados no timo, produzem anticorpos anti-cromatina; estes fármacos interferem no estabelecimento da tolerância aos antigenos próprios que o HLA apresenta aos timócitos, podendo, ainda desta forma, os linfócitos maturos periféricos serem activados quando se encontram com os antígenes próprios similares.
                              produção de Ag's anti-cromatina e interferência na tolerância
                              aos auto-Ag's

Muitos fármacos podem desencadear o síndrome lupus-like. Estão entre eles antiarrítmicos, anti-hipertensores, antipsicóticos, antibióticos, anticonvulsivantes, antitiroideus, anti-inflamatórios, diuréticos, estatinas e anti-αTNF.

Manifestações clínicas

Para além da sintomatologia mais frequente, que engloba mal estar geral, artralgias e artrite, mialgias, febre e perda  de  peso,  outra  sintomatologia  pode  aparecer  como  o  eritema  malar ( 5-40% dos casos ) e que depende do agente causal. Também pleurite, pericardite e hepatoesplenomegalia podem aparecer.
Sintomas cutâneos são específicos e frequentes em casos provocados por quinidina ( 39 % dos casos ), hidralazina ( 10-34 % dos casos ) e anti-αTNF ( 80 % dos casos ). Também a lesão renal, rara, foi associada a hidralazina, sulfassalazina, propiltiouracilo, anti-αTNF e, sobretudo, d-penicilamina.
O laboratório também ajuda ao despiste do síndrome lupus-like. Há um aumento de VS em 80% dos casos. Alterações hematológicas são frequentes: leucopenia ( 5-25 % ), anemia ( 35 % ), trombocitopenia é rara excepto nos casos ligados a anti-αTNF e quinidina.
A hipocomplementemia é um dado raro, excepto nos casos secundários a anti-αTNF, penicilamina e quinidina. A presença de anticorpos anti-dsDNA é rara neste síndrome lupus-like, excepto quando secundário a anti-αTNF.
Várias formas clínicas especiais de síndrome lupus-like existem consoante o fármaco desencadeador. Aqui apenas desenvolveremos o secundário a medicamentos anti-αTNF, mas outros existem como lupus induzido pela minociclina ou estatinas.

Síndrome lupus-like induzido por medicamentos anti-αTNF

O tratamento com este tipo de fármacos associa-se ao desenvolvimento de ANA e anti-dsDNA. A incidência de ANA é bastante frequente ( 23-57 % ). Já a incidência de anti-dsDNA oscila entre 9-33 %.
Detectaram-se estes auto-anticorpos em doentes com artrite reumatóide, espondiloartropatias e doença de Crohn, o que indica que o desenvolvimento destes anticorpos é independente da doença de base.
Apesar da alta incidência de desenvolvimento de autoanticorpos ( ANA e anti-dsDNA ) apenas uma pequena percentagem de doentes desenvolvem o síndrome lupus-like e vasculite. Isto pode explicar-se pelo facto da maioria dos anticorpos anti-DNA, achados nestes doentes, são de IgM, e foi demonstrado que só os anticorpos anti-dsDNA IgG são patogénicos. Apenas 0.22% dos doentes tratados com infliximab, em artrite reumatóide e doença de Crohn, desenvolvem o síndrome lupus-like. O quadro clínico aparece ( ainda que muito raramente ) após 41 semanas de tratamento com anti-αTNF e com idade média de 50.9 anos.
Postularam-se vários mecanismos pelos quais os anti-αTNF podem induzir síndrome lupus-like. Estes fármacos podem alterar o clearance das células apoptóticas, e levar a uma diminuição da expressão da molécula de aderência CD44 que tem função na clearance dos neutrófilos apoptóticos. Também foi verificado que estes agentes induzem a apoptose, que causaria a produção de auto-antigeneos nucleares e levaria à produção de anticorpos anti-DNA em indivíduos geneticamente predispostos.
Foi também sugerido que estes agentes podem inibir a acção dos linfócitos T citotóxicos que suprimem as células autorreactivas.
Ainda não se conhecem os mecanismos envolvidos na fisiopatogenia do síndrome lupus-like secundário a fármacos. Dados experimentais apontam para: a inibição da metilação de DNA; activação de monócitos; distúrbios dos metabolitos de certas drogas no processo de tolerância do sistema imunitário.
O mecanismo parece ser multifactorial e, em todas as situações propostas, uma modificação molecular específica desencadeia a activação do sistema imunitário de forma anormal.
Eritema nodoso

Eritema nodoso

Púrpura

Púrpura

Pápulas eritematosas

Pápulas eritematosas

A presença de eritema nodoso, púrpura ou pápulas eritematosas é mais comum na forma induzida que no LES idiopático. Eritema malar, alopécia, lesões discóides, aftas orais, fotossensibilidade e fenómeno de Raynaud são raros no síndrome lupus-like. Envolvimento sistémico é raro. Anti SS A/Ro e anti SS B/La podem positivar.
Anemia, leucopenia ou ambas aparecem em 25-33% dos casos. O teste de Coombs pode ser positivo em 33% dos casos principalmente nos casos desencadeados pela procainamida. Trombocitopenia é muito rara. A imunofluorescência apresenta um padrão homogéneo de distribuição de anticorpos.
Após retirar a droga desencadeante, os títulos dos anticorpos diminuem e negativam.

As drogas associadas a lupus-like são classificadas em 4 grupos, segundo o grau de evidência científica disponível de relação causal:
  • grupo I : relação considerada definitiva
  • grupo II : relação provável
  • grupo III : relação possível
  • grupo IV : dados iniciais
No grupo IV incluem-se os agentes anti-αTNF. Há registo de ocorrência de auto-anticorpos, com o uso de infliximab, independentemente da doença de base. Entre estes auto-anticorpos estão o anti-RNP, anti-dsDNA, anticardiolipina, anti-Sm. Estes autoanticorpos são induzidos rapidamente após a introdução da terapêutica com anti-αTNF.

A imunopatogenia do síndrome lupus-like induzido pelas drogas é pouco conhecida. Os principais mecanismos envolvidos são:
  1. metabolismo oxidativo das drogas: várias drogas implicadas na ocorrência do síndrome lupus-like induzido por fármacos sofrem metabolismo oxidativo por meio de neutrófilos activados; a taxa de acetilação ( acetiladores lentos versus acetiladores rápidos ) não é um factor de risco para o síndrome lupus-like, mas tem sido reportado que a acetilação lenta é um factor de risco predisponente à patologia lupus-like. A activação dos neutrófilos estimula a produção de radicais livres. Da reacção do peróxido de hidrogéneo com a procainamida, catalizada pela mieloperoxidase dos neutrófilos, há formação de procainamida-hidroxilamina, composto este que activa os mononucleares e tem sido associado aos mecanismos de doença auto-imune.
  2. Interferência dos metabolitos das drogas na tolerância imunológica e o papel da selecção tímica no síndrome lupus-like: a interrupção da tolerância imunológica tem implicação na indução da auto-imunidade. Um dos mecanismos propostos para indução de autoimunidade pelo PAHA ( procainamida-hidroxilamina ) relaciona-se com a seleção das células T CD 4+CD8+ no cortex do timo expressado de receptor da célula T ( TCR ) e diferindo em afinidade para antigenes próprios. Após diferenciação em células CD4+ maduras, e migração para a periferia, as células T não tolerantes, por influência de PAHA, podem ser activadas. Ao encontrar uma célula B cromatina específica, que se liga ao antigeneo da célula T no seu MHC, a imunidade T-B é induzida, desencadeando auto-imunidade.
  3. Inibição da metilação do DNA: a metilação do DNA é um determinante fundamental da estrutura da cromatina exercendo potente efeito supressivo da expressão génica. Genes inactivos são silenciados pela metilação, cuja função é a supressão de genes não essenciais, ou potencialmente perigosos para as funções celulares, como acontece com a hipometilação/desmetilação do gene da perforina induzindo  a   produção de perforina e do antigene I associado à função leucocitária 1 ( LFA1 ), substâncias estas que estão aumentadas no LES e lupus-like. A metilação tem sido implicada como um dos principais mecanismos envolvidos no desenvolvimento das células do sistema imunitário, controlando a recombinação da região do segmento génico da junção de diversidade variável, expressão dos antigenes da superfície celular e a regulação da produção de citoquinas durante a resposta imune
  4. Exposição a antigenes ocultos: pode esta exposição ser a causadora da perda de tolerância periférica; o mecanismo de acção do infliximab pode ser a libertação de partículas intracelulares que serviriam como imunogéneos e originariam uma resposta imunológica inadequada
  5. Indução da apoptose em linfoblastos humanos activados: a estimulação de células mononucleares do sangue periférico com material apoptótico autólogo pode originar a formação de clones T histonas específicas, células T estas que podem estimular células B autólogas a produzirem anticorpos anti-dsDNA ocasionando maior influxo de material apoptótico facilitando a indução da auto-imunidade e produção de auto-anticorpos.

Eventualmente uma droga, ainda não existente, que iniba e impeça a desgranulação dos neutrófilos poderá ter efeito importante no combate ao desenvolvimento do síndrome lupus-like, pois os compostos activos teriam a sua formação inibida.

A etiopatogenia da doença lupus-like é desconhecida, mas as investigações actuais apontam para que os metabolitos activos dos fármacos, susceptíveis à oxidação mediada pelos neutrófilos periféricos activados, sejam os verdadeiros responsáveis pelo desenvolvimento desta patologia. A evidência indirecta de que estes metabolitos dos fármacos são necessários para a indução da autoimunidade é sugerida pela forte ligação entre a susceptibilidade de transformação oxidativa do fármaco mediada pela mieloperoxidase que se liberta aquando da desgranulação dos neutrófilos activados e a propensão para o fármaco induzir o síndrome lupus-like. Este facto também explica a protecção dada pelo fenotipo da acetilação rápida, visto a N-acetilação hepática compete com a N-oxidação dos neutrófilos, bloqueando a formação de metabolitos oxidados.

A velocidade da N-acetilação é a taxa ( ou “velocidade” ) à qual o organismo pode metabolizar uma droga

A N-acetilação está grandemente diminuída nos doentes com uma deficiência genética da enzima N-acetiltransferase. Os acetiladores lentos revelaram ter mais metabolitos ( no estudo que foi pesquizado, o fármaco em questão era a hidralazina ) na urina do que os acetiladores rápidos. Os metabolitos são criados quando os leucócitos foram activados, significando que foram estimulados para produzirem um “respiratory burst” que, nos leucócitos, induzem um aumento da produção de radicais livres e oxidantes, com o peróxido de hidrogéneo. Estes oxidantes reagem com o fármaco para produzir uma espécie reactiva capaz de ligar à proteína. Os monócitos detectam o antigene e apresentam-no às células T-helper criando anticorpos antinucleares ( ANA ) levando à resposta imunológica.
Um doente que desencadeie um síndrome lupus-like induzido pelo infliximab pode, em mais de 80% dos casos, substituir o anti-αTNF por outro, sem desencadear a indução de síndrome lupus-like.
Os doentes com síndrome lupus-like induzidos por agente anti-αTNF apresentam sintomatologia cutânea, mas os órgãos internos muito raramente são afectados, e melhoram com a suspensão do agente farmacológico causador.

Infliximab pode induzir o aparecimento de ANA em cerca de 64% de doentes com artrite reumatóide e 50% de doentes com doença de Crohn. Pode o infliximab também induzir o surgimento de anti-dsDNA em 13% de doentes com artrite reumatóide e cerca de 21.5% de doentes com doença de Crohn.
Considerando todos os agentes anti-αTNF, a prevalência da indução de ANA varia de 23% a 57%, enquanto que a de anti-dsDNA varia entre 9% e 33%. Apesar destas incidências, o desenvolvimento de síndrome lupus-like é muito mais raro ( entre 0.5% e 1% ).
Anticorpos anti-histonas positivam em cerca de 95% dos casos e negativam com a descontinuação da medicação.


Bupropiona é um fármaco que pode induzir o aparecimento de lupus eritematoso cutâneo subagudo, que é uma forma similar ao LES em termos clínicos e serológicos.

Mielograma: alterações infecciosas e reactivas

Mielograma: alterações infecciosas e reactivas

A resposta medular à infecção é muito variável, dependendo da natureza e cronicidade da infecção, idade do doente, presença de doenças associadas e do agente infeccioso. A resposta medular, e do sangue periférico, é no entanto sempre inespecífica e similares alterações ocorrem em outras patologias não infecciosas.

Infecções a ricketsias ou bacterianas

Nos adultos, a resposta hematológica a uma infecção bacteriana é uma leucocitose com neutrofilia e desvio esquerdo. Os neutrófilos, usualmente, apresentam granulações tóxicas e, por vezes, corpos de Döhle e vacuolizações citoplasmáticas. Neutrofilia pode não ocorrer quando a infecção é muito grave, em recém-nascidos ou em alcoólicos com reserva medular diminuída, mas há sempre desvio esquerdo com as alterações tóxicas nos neutrófilos, já referidas.

Corpos de Döhle

Em infecções particulares pode haver neutropenia ( febre tifóide, febre paratifóide, etc ), trombocitopenia, anemia, bicitopenia ou mesmo pancitopenia. Em casos graves, podem ser visualizados eritroblastos no sangue periférico, bem como precursores granulocíticos, condição chamada de leucoeritroblastose. Linfócitos podem estar diminuídos mas plasmócitos podem estar presentes. Em algumas infecções pode surgir anemia hemolítica.
A anemia inicia-se por ser normocítica e normocrómica mas, à medida que a infecção se torna mais crónica, a anemia desenvolve características de anemia das doenças crónicas, sendo hipocrómica microcítica.
A pancitopenia, que pode ocorrer em algumas situações, é devida a fenómenos de hemofagocitose e, mais raramente, associa-se a necrose da medula óssea.
A expressão das infecções a nível medular, nos casos de infecção bacteriana, reflete o que se passa a nível do sangue periférico. Há  hiperplasia  granulocítica  associada  a alterações  tóxicas ( granulações tóxicas, vacuolização citoplasmática ). A medula óssea pode mostrar hiperplasia dos percursores granulocíticos, com  poucas  células  maturas.


Eritropoiese pode estar diminuída, com os eritroblastos mostrando diminuição das granulações sideróticas. Nos casos em que se observa trombocitose a nível periférico, pode haver aumento do número de megacariócitos. Macrófagos estão aumentados em número. Nos casos de infecções crónicas, aparece aumento dos depósitos de ferro.
Na tuberculose, o mielograma, pode revelar aumento dos depósitos de ferro e aumento do número de macrófagos, frequentemente, com hemofagocitose.
Nas infecções bacterianas, no geral mas com excepções, a medula óssea apresenta-se hipercelular, com hiperplasia granulocítica e com desvio esquerdo da maturação, com aumento dos mielócitos e promielócitos em detrimento dos polinucleares maturos. Também se observa, geralmente, aumento de megacariócitos de morfologia preservada e presença de emperipolesis. Eritropoiese costuma ser diminuída mas morfologicamente normal. Plasmócitos podem estar aumentados, podendo mesmo, em situações mais crónicas, atingir cifras de 50% das células nucleadas presentes.
Em casos de infecção grave, pode ocorrer uma paragem da maturação celular, com aumento dos promielócitos e falta de células maturas.

Infecções virais

No sangue periférico, as infecções víricas, geralmente provocam linfocitose com as células mantendo a morfologia normal, mas por vezes sendo atípicas. A mononucleose infecciosa, provocada pela infecção pelo virus Epstein-Barr, é caracterizada por linfócitos atípicos   grandes,   referidos   por   mononucleares   atípicos,   geralmente    pleomórficos,


grandes, com citoplasma abundante e núcleos com cromatina difusa e nucléolos. A presença destas células mononucleares atípicas, não é patognomónica de mononucleose infecciosa, pois podem aparecer em infecções como as provocadas por CMV, HIV, hepatite A, adenovirus e toxoplasmose, bem como em reacções de hipersensibilidade a drogas.
Em doentes com infecções a vírus, a hemoglobina pode estar diminuída como resultado da supressão medular, hemorragia ou hemólise. Trombocitopenia resultando de consumo excessivo das plaquetas ( trombocitopenia de consumo ) é característica das febres hemorrágicas virícas causadas por um amplo leque de vírus.
O mielograma, nas infecções a vírus, mostra um aumento dos linfócitos, sejam normais ou atípicos. Nas infecções a EBV ou CMV, os mononucleares atípicos, que se observam no sangue periférico, estão igualmente presentes na medula óssea. Hemofagocitose é proeminente. Quando uma infecção vírica causa anemia hemolítica, como é o caso da mononucleose infecciosa, hiperplasia eritróide apresenta-se.
Quando infecções víricas são complicadas com trombocitopenia, devido a aumento de destruição plaquetária, os megacariócitos estão presentes em número normal ou aumentado. Ocasionalmente, observam-se plaquetas dentro dos macrófagos da medula óssea.
Infecções víricas podem levar a um aumento dos linfócitos, plasmócitos e macrófagos na medula óssea, com presença ou ausência de hemofagocitose.



Infecções a fungos

As infecções fúngicas, embora possam afectar pessoas saudáveis para outras patologias, são muito mais frequentes em doentes com HIV ou fazendo quimioterapia. No sangue periférico, as infecções fúngicas não apresentam dados hematológicos específicos, podendo ocorrer por vezes pancitopenia. Em certas ocasiões, como nas infecções por actinomicoses ou coccidioidomicoses, neutrofilia pode ocorrer. No mielograma, os fungos são raras vezes observados em doentes imunologicamente normais, sendo o Histoplasma uma excepção por ser observado nos macrófagos medulares. Os fungos podem, para além de serem observados dentro do macrófago, serem visualizados livres.
Para a detecção de fungos, o exame preferencial é a cultura mais que a observação de mielograma ou, mesmo, biópsia óssea.

Doenças parasitárias

Aspirado de medula óssea é muito útil no diagnóstico de leishmaniose e, quando se suspeita desta patologia, é um método recomendado. Macrófagos estão aumentados em número e contêm organismos no seu interior, que se caracterizam por serem um pequeno corpo basófilo paranuclear, conhecido como cinetoplasto, dando ao organismo a característica   aparência   de  duplo  bastão.  Leishmania  é  usualmente  associada  a  um aumento do número de plasmócitos, e  pode   haver  proeminente  deseritropoiese.


Parasitas da malária são por vezes observados nos eritrócitos e nos neutrófilos medulares, embora não seja de aconselhar o mielograma para o diagnóstico de malária.


Sobrecarga de ferro

A sobrecarga de ferro, com excesso de depósitos de ferro, pode resultar de hemocromatose genética ou outras alterações raras, ou de um distúrbio hematológico. As alterações hematológicas que levam à sobrecarga de ferro são caracterizadas por uma eritropoiese ineficaz, levando a um aumento da absorpção de ferro, ou por anemia que leva a transfusões e sobrecarga de ferro transfusional.
O sangue periférico é normal excepto se a sobrecarga de ferro resultar de uma anormalidade hematológica.
Na hemocromatose genética há um aumento de ferro nos sideroblastos e armazenamento de ferro nos macrófagos medulares, mas a medula óssea é de resto normal.
Quando a sobrecarga de ferro resulta de anormalidades hematológicas, haverão repercursões visualisáveis na medula óssea. Se a doença que causa o excesso de ferro é a talassémia, os eritroblastos apresentam grânulos sideróticos em número e tamanho aumentados. Quando a causa do excesso de ferro é a anemia sideroblástica, sideroblastos em anel são muito numerosos e outros sideroblastos anormais estão também presentes. Inclusões de hemossiderina podem ser observadas nos plasmócitos em doentes com sobrecarga de ferro.




Técnicas especiais aplicáveis ao diagnóstico da medula óssea

Técnicas especiais aplicáveis ao diagnóstico da medula óssea

Técnicas especiais aplicáveis ao diagnóstico da medula óssea incluem citoquímica, imunofenotipagem por imunocitometria ou citometria de fluxo, citogenética e análise de genética molecular, exame ultraestrutural, cultura para microorganismos e cultura para progenitores celulares.

Colorações citoquímicas e histoquímicas

a) coloração de Perls: A coloração de Perls demonstra a hemossiderina nos macrófagos medulares e dentro dos eritroblastos, permitindo a avaliação dos depósitos de ferro intra e extracelulares. Um mínimo de 7 fragmentos são necessários para uma correcta avaliação dos depósitos de ferro na medula óssea.


A graduação dos depósitos de ferro intramedular pode ser feita seguindo a tabela seguinte:


Sideroblastos são eritroblastos que, na coloração de Perls, apresentam 1-5 grânulos contendo ferro, distribuídos pelo citoplasma. Em doentes hematologicamente normais, com depósitos de ferro mantidos, 20-50% dos eritroblastos medulares são sideroblastos. A avaliação dos sideroblastos inclui, para além do número, a presença de sideroblastos anormais,   onde   se  incluem   os  sideroblastos  em  anel,  com  os  grânulos  mais que, como normalmente, dispersos pelo citoplasma.


Inclusões de hemossiderina em plasmócitos, aparecem em situações de sobrecarga de ferro, como a hemocromatose, e aparecem como granulações verde escuras quando coradas por May-Grünwald Giemsa, sendo usada a coloração de Perls para confirmar.

Imunofenotipagem

Antigenes podem ser expressados na superfície celular, dentro do citoplasma ou intranuclear, sendo estes antigenes detectados, em conjunto ou isoladamente, dependendo da técnica utilizada. Muitos anticorpos monoclonais, que reagem com antigenes mielóides ou linfocíticos, são descritos por um cluster de diferenciação ( CD ) numerado. Um dado número CD refere-se a um grupo de anticorpos que reconhecem o mesmo antigene, e também referem ao antigene expressado. Nem todos os anticorpos com o mesmo número CD têm exactamente a mesma reactividade com células normais ou anormais. Existem ainda alguns importantes anticorpos a que não está atribuído um número CD, como é o caso de FMC7.

Se existem em circulação um número significativo de células anormais, é conveniente fazer a imunofenotipagem citométrica no sangue periférico. De outro modo, esta técnica deve ser realizada no aspirado de medula óssea ou outro líquido biológico ( LCR, exsudado seroso ou suspensão celular de um nódulo linfático ou outro tecido ).
Limitações à técnica de imunofenotipagem por citometria de fluxo englobam um infiltrado anormal que pode não estar representado no aspirado em quantidade significativa, que é o que vulgarmente acontece no linfoma folicular com infiltração paratrabecular, e pode também ocorrer em qualquer linfoma no qual há uma deposição de reticulina aumentada na área infiltrada, e que interfere com a aspiração das células anormais. Outra situação é o caso em que as células neoplásicas são, em número, ultrapassadas pelas células reactivas, como sucede no linfoma de Hodgkin e no linfoma de células B rico em células T, em que a imunofenotipagem pode se relacionar apenas com os linfócitos T reactivos e não com a população, menor, de células neoplásicas.


segunda-feira, junho 03, 2013

Medula óssea normal

Medula óssea normal

A hematopoiese é confinada, na vida extrauterina normal, à medula óssea que ocupa os interstícios interiores do osso. A medula é uma estrutura interior do osso, com forma de favos de mel, cujos interstícios forma as cavidades medulares e contêm a medula óssea. A medula óssea é formada pela medula vermelha, que contém as células hematopoiéticas, e a medula amarela ou gorda, que contém tecido adiposo. A distribuição da medula óssea depende da idade do doente. Nos recém-nascidos, a cavidade medular é totalmente ocupada por células hematopoiéticas proliferativas, ocorrendo hematopoiese mesmo nas falanges; à medida que a idade avança, a hematopoiese vai-se tornando cada vez mais centrípeta, sendo substituída por medula amarela, tornando a hematopoiese confinada, nos adultos, ao crâneo, vértebras, costelas, clavículas, esterno, pélvis e metade proximal dos húmeros e fémures.

http://www.youtube.com/watch?v=r4lSrDdH6WM

Embora os osteoblastos e osteoclastos compartilhem a superfície das trabéculas ósseas, elas originam-se de células diferentes. Osteoblastos, e assim os osteócitos, são de origem mesenquimatosa, derivando da mesma stem cell dos condrócitos e, provavelmente, dos fibroblastos do estroma, enquanto que os osteoclastos derivam da stem cell hematopoiética, sendo formados da fusão de células da linhagem monocítica.
Células hematopoiéticas da medula óssea estão embebidas num estroma de tecido conjuntivo que ocupa os espaços intertrabeculares da medula. O estroma é formado por células gordas, vasos sanguíneos, fibroblastos, macrófagos, fibras nervosas mielinizadas ou não e reticulina. As células do estroma incluem as células reticulares que englobam 2 tipos celulares, sendo umas as células fagocíticas de reticulina, que são macrófagos originários das células progenitoras hematopoiéticas, e as outras são células não fagocíticas reticulares relacionadas com os fibroblastos, células adventícias dos sinusoides e, provavelmente, osteoblastos e condrócitos, diferindo estas daquelas por estas últimas serem fosfatase alcalina positivas.
O conteúdo gordo da medula varia na razão oposta da medula vermelha. A gordura da medula é fisiologicamente diferente da gordura subcutânea, sendo a gordura medular a última a ser perdida nos casos de jejum prolongado e fome. Na perda rápida do tecido hematopoiético medular, este é substituído por tecido mucinoso, que posteriormente é substituído por tecido gordo.
Com excepção de alguma trombocitopoiese extramedular, no homem a hematopoiese é confinada à medula óssea e, em específico, ao interstício medular. Em condições patológicas, a hematopoiese pode existir dentro dos sinusoides.

Exame da medula óssea

As 2 técnicas principais de obtenção de amostras de medula óssea, que são complementares, são a biópsia por aspiração e a biópsia óssea. O aspirado de medula óssea é realizado, geralmente, no esterno ou na crista ilíaca. Nos recém-nascidos e até aos 18 meses, geralmente, pode usar-se o aspirado da tíbia.
Embora se possa realizar indistintamente a aspiração de medula óssea do esterno ou da crista ilíaca, verifica-se que a aspiração esternal dá melhores informações.
O aspirado de medula óssea pode falhar completamente, sendo o que se chama de “dry tap” que pode significar uma histologia normal medular mas, mais frequentemente significa uma doença, como metástases neoplásicas, LMC, mielofibrose primária ou leucemia a células em cabeleira com fibrose associada. Noutras ocasiões, o aspirado apenas revela sangue que é frequentemente resultado de fibrose da medula óssea.
Aspirado de medula óssea permite o estudo citológico fino. Permite também um amplo leque de estudos citoquímicos e de marcadores imunológicos. Aspirado de medula óssea é muito útil quando se investiga doentes com suspeita de anemia de deficiência de ferro, anemia das doenças crónicas, anemia megaloblástica e leucemia aguda. Biópsia óssea, por permitir o estudo da arquitectura óssea, é de particular interesse em casos de anemia hipoplásica ou aplásica, linfomas, carcinomas metastáticos, doenças mieloproliferativas e doenças ósseas.

Celularidade

O estudo da celularidade medular é melhor avaliado por estudo histológico, embora o mielograma também possa dar uma boa indicação.
Em indivíduos saudáveis, a celularidade da medula óssea depende da idade e do local onde foi realizada a colheita da amostra, sendo também afectada por causas técnicas, como descalcificação das amostras parafinadas que diminui a celularidade comparativamente com amostras trabalhadas em resina e não parafina.

Células hematopoiéticas

Uma stem cell multipotencial origina todas as células hematológicas


a) Eritropoiese: precursores dos eritrócitos são os eritroblastos que apresentam, pelo menos, 5 gerações celulares entre a stem cell eritróide morfologicamente não reconhecida e o eritrócito. Várias gerações de eritroblastos estão associadas a um macrófago, sendo o conjunto celular chamado de ilha eritroblástica




Proeritroblastos  são  células  grandes,  redondas, com 12-20 μm de diâmetro e um núcleo redondo e grande, com citoplasma basófilo e uma zona perinuclear pálida ( correspondendo ao complexo de Golgi ); o núcleo apresenta vários nucléolos.
Eritroblastos basófilos são células menores que os proeritroblastos, e mais numerosos, com   uma  relação   núcleo/citoplasma  menor  e  um  citoplasma  fortemente  basófilo  e uma cromatina granular, sem nucléolos visíveis; pode ser visto um halo perinuclear, menos basófilo que o resto do citoplasma.



Eritroblastos policromatófilos são menores e mais numerosos que os anteriores, apenas ligeiramente maiores que os eritrócitos maturos, com uma relação núcleo/citoplasma menor que a verificada nos eritroblastos basófilos, e com cromatina mais condensada; o citoplasma é fracamente basófilo e tem também uma coloração rosa devido ao aumento da concentração da hemoglobina.
Eritroblastos ortocromáticos extrudem o seu núcleo, sendo umas células ligeiramente maiores que os eritrócitos normais e com núcleo muito compacto.

b) Granulopoiese: há, pelo menos, 4 gerações celulares entre o precursor granulócito-monócito irreconhecível e o granulócito maduro.
A primeira célula reconhecível como granulopoiética é o mieloblasto, que é similar ao proeritroblasto com 12-20 μm de diâmetro, com uma forma mais irregular que o proeritroblasto, e seu citoplasma mais basófilo; tem uma cromatina difusa e vários nucléolos visíveis.


                            
Mieloblasto
                                            

                                                     Mieloblasto, promielócito e mielócito

Os mieloblastos apresentam-se geralmente sem grânulos. Os mieloblastos podem dividir-se e maturar para promielócitos.
Promielócitos são células com núcleo ligeiramente indentado e que apresentam nucléolos, uma zona de Golgi e grânulos primários ou azurófilos presentes, que coram de vermelho-púrpura. Os promielócitos são células de 15-25 μm de diâmetro e um citoplasma fortemente basófilo. Podem dividir-se ou maturar para mielócitos.
Mielócitos são células de 10-20 μm de diâmetro, com núcleo com cromatina condensada e já sem nucléolos, citoplasma menos basófilo que o dos promielócitos, e grânulos específicos de neutrófilos,  eosinófilos  ou  basófilos  podem  ser  observados,  corando  de lilás, laranja  ou  púrpura  respectivamente.  Alguns  dos  mielócitos  podem  dividir-se  ( originando uma segunda geração de mielócitos ) enquanto que os mielócitos de 2ª geração maturam para metamielócitos.
Metamielócitos são células de 10-12 μm de diâmetro, com um núcleo em forma de U, que não é capaz de divisão celular e matura para bastonete, célula esta que apresenta um núcleo em bastão, que por sua vez matura para neutrófilo, eosinófilo ou basófilo, que apresentam um núcleo segmentado e com grânulos específicos.
c) Monocitopoiese: monócitos são derivados de um precursor granulócito-monócito morfologicamente indistinguível. O primeiro percursor que se pode distinguir é o monoblasto, uma célula maior que o mieloblasto, com citoplasma abundante e variável basofilia, e um núcleo grande e redondo. Monoblastos são células capazes de se dividirem e maturarem para promonócitos, que são similares, em tamanho, aos promielócitos, apresentam nucléolos, alguma lobulação nuclear e grânulos azurófilos citoplasmáticos. Promonócitos maturam em monócitos que migram rapidamente para o sangue periférico. Os monócitos têm 12-20 μm de diâmetro, um núcleo lobulado e abundante citoplasma fracamente basófilo, com pequeno número de grânulos azurófilos. Os monócitos maturam em macrófagos, tanto na medula óssea como noutros tecidos. Macrófagos são células grandes, de 20-30 μm de diâmetro, de forma irregular, com relação núcleo/citoplasma baixa e grande citoplasma, fracamente basófilo. Uma coloração para o ferro demonstra a presença de hemossiderina.

Megacariopoiese e trombopoiese

Megacariócitos provêm das stem cells hematopoiéticas através da via comum dos progenitores megacariócitos-eritrócitos, que originam os precursores eritróides e os megacarioblastos. Estas são pequenas células proliferativas, com núcleo diplóide, geralmente não visualizadas na medula óssea. As primeiras células desta linhagem, distinguidas na medula óssea, são os megacariócitos, embora quando a hemopoiese é anormal pode-se visualizar megacarioblastos de tamanho e morfologia semelhante aos mieloblastos.  Megacariócitos  sofrem  endorreduplicação,  resultando  em  células grandes,  de  30-160 μm  de  diâmetro, com grande heterogeneidade do conteúdo nuclear de DNA ( ploidia ) e tamanho nuclear. Os megacariócitos podem dividir-se pela sua ploidia, sendo que, na normalidade, podem variar de 4 N a 32 N, com ploidia predominante de 16 N. Os megacariócitos também se podem dividir pelas características nucleares e citoplasmáticas. Nesta base, os megacariócitos podem ser classificados do seguinte modo:
  • Grau I: citoplasma fortemente basófilo e grande relação núcleo/citoplasma
  • Grau II: menor relação núcleo/citoplasma com citoplasma menos basófilo e com granulações azurófilas
  • Grau III: células maduras, capazes de produzirem plaquetas, e já não sintetizam DNA
O grau I é o único grau de megacariócitos com núcleo 4 N, e os megacariócitos 32 N são mais numerosos no grau III. Todos os estadios podem apresentar megacariócitos 4 N, 8 N, 16 N e 32 N.
Proliferação de megacariócitos e produção de plaquetas são primariamente reguladas por interacção entre trombopoietina e o seu receptor de superfície, MPL. Um aumento das necessidades plaquetárias, por exemplo por destruição periférica, leva a um aumento da ploidia e do tamanho celular.



Megacariócito senescente que já libertou muitas plaquetas do seu citoplasma


É importante caracterizar os megacariócitos tanto em número como em morfologia. Megacariócitos podem englobar outras células hematológicas, como linfócitos, eritrócitos, eritroblastos, granulócitos e seus percursores, um fenómeno chamado de emperipolesis, aparecendo as células engolfadas, como células perfeitamente normais e preservadas morfologicamente.




Linfopoiese

Linfócitos: os linfócitos B e T compartilham uma origem comum com as células mielóides, derivando todas de uma stem cell pluripotencial. A medula óssea possui percursores das linhagens B e T. Os linfócitos da medula óssea são pequenos linfócitos, com uma relação núcleo/citoplasma alta e escasso citoplasma, fracamente basófilo. O núcleo apresenta cromatina condensada, mas frequentemente mais difusa que nos linfócitos do sangue periférico. Os linfócitos constituem 25-30% das células medulares, nas crianças, e declinam para 15-25% ou menos nos adultos. Se não há hemodiluição, o número de linfócitos é de cerca de 10% das células nucleadas presentes na medula óssea, sendo a maioria linfócitos T CD8 positivo ( normalmente a razão T:B é de cerca de 6:1 )

Plasmócitos: células raras na medula óssea normal, constituindo menos de 1% das células nucleadas, sendo ainda menos frequentes nas crianças saudáveis. São células de 15-20 μm de diâmetro, com núcleo excêntrico, citoplasma basófilo e uma zona de Golgi paranuclear proeminente. A cromatina apresenta proeminentes agregados. Ocasionalmente os plasmócitos podem apresentar 2 ou mais núcleos e podem aparecer em aglomerados celulares.



Composição celular da medula óssea

A composição celular do aspirado da medula óssea é fortemente influenciada pela quantidade de material aspirado, visto que tanto maior o volume aspirado maior a quantidade de sangue sinusoidal colhido. A diluição com sangue medular leva a um aumento percentual dos linfócitos e granulócitos maduros e uma diminuição percentual dos percursores eritróides e granulocíticos.
Devem ser contadas 500-1000 células para se determinar uma mais precisa distribuição dos diferentes tipos celulares.
É útil a determinação da relação M:E pois esta, dada em conjunto com a celularidade, informa sobre se a eritropoiese e a granulopoiese são reduzidas, normais ou aumentadas.

Relatório de um mielograma


O relatório de um mielograma deve dar indicação dos dados clínicos, fornecidos pelo hematologista, e um report da contagem de sangue total e esfregaço de sangue periférico na data do aspirado de medula óssea. Deve ser referenciada a localização da aspiração, consistência óssea e facilidade da aspiração. Deve constar a referência à celularidade total, relação M:E e descrição de cada linhagem. Depósitos de ferro, intra e extracelulares, estudados com a coloração de Perls, devem ser referidos. Uma descrição dos achados significativos deve ser feita, e uma proposta de diagnóstico deve ser mencionada.